Um homem de 43 anos, sofreu uma fratura no pênis após inserir uma escova de dentes no órgão para “satisfação sexual”. O caso foi relatado em um estudo publicado através de canais de comunicação.
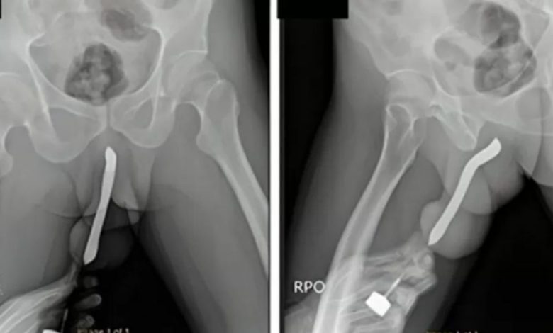
O paciente, cuja identidade não foi revelada, chegou ao pronto-socorro aproximadamente doze horas após o incidente. Ele havia inserido a escova de dentes no pênis durante uma relação sexual, resultando na quebra do objeto.
Surpreendentemente, não foi a primeira vez que o homem se envolveu em tal prática. Segundo o relatório, ele tinha um histórico de autoinserção de escovas de dentes no dorso e ventre do pênis desde 2017.
O homem teria chegado no local apresentando sintomas como dor, inchaço e hematoma. Após a comprovação do objeto em seu corpo, ele passou por uma cirurgia de remoção e conseguiu se recuperar, recebendo alta três dias depois de ter realizado todo o procedimento.
No mês seguinte, ele relatou aos médicos a ausência de qualquer deformidade e contou que continuou seguir com sua vida sexual de forma normal.
O caso destaca um comportamento de risco e práticas sexuais potencialmente perigosas que podem levar a lesões graves. A autoinserção de objetos estranhos no trato genital pode resultar em complicações significativas, incluindo fraturas, infecções e danos aos órgãos internos.
É importante destacar a necessidade de educação sexual e conscientização sobre práticas seguras para evitar incidentes desse tipo. Além disso, o relato sublinha a importância da intervenção médica imediata diante de lesões genitais para garantir um tratamento adequado e prevenir complicações adicionais.
